診療科・部門一覧

- > 診療科・部門一覧
- > 整形外科 - 骨折外傷
整形外科 - 骨折外傷
骨折外傷
骨折外傷については、日本救急医学会専門医の資格を持つ屋良を中心に様々な手術を行っております。
高齢者に好発する大腿骨近位部骨折・橈骨遠位端骨折や若年者の四肢単独骨折はもちろんのこと、当院は福岡地区第3次救急医療機関であるため多発外傷や骨盤骨折などの重篤な外傷も数多く治療しております。
多発外傷や骨盤骨折では、患者さんの生命を維持するため救急科を中心とした関連各科と連携し集中治療を行います。また骨折や軟部組織損傷に可能な限り早期に、かつ適切なタイミングで最新の知見に基づいた最適な治療を提供します。
医師紹介
整形外科 部長
屋良 卓郎(やら たくろう)
| 専門 | 骨折外傷・外傷 |
|---|---|
| 主な経歴 |
2006年 筑波大学医学専門学群卒業 2008年 九州大学整形外科入局 2008ー13年 九州大学病院および関連病院にて研修 2014年 佐賀県医療センター好生館 救急科 2016年 佐賀県医療センター好生館 整形外科 2018年 大阪府済生会千里救命救急センター 2020年 九州大学病院救命救急センター (助教) 2021年ー 済生会福岡総合病院 整形外科 (部長) |
| 学会資格など |
日本整形外科学会(専門医)、日本救急医学会(専門医)、 日本外傷学会、日本骨折治療学会、日本手外科学会、、日本マイクロサージャリー学会など |
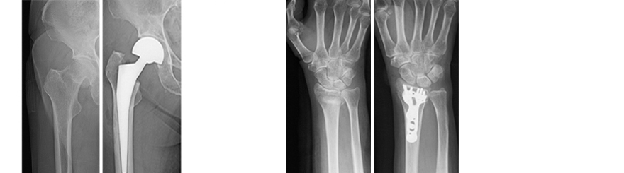
●大腿骨頸部骨折(人工骨頭挿入術後) ●橈骨遠位端骨折(骨接合術後)
●足関節骨折(骨接合術後)
●骨盤骨折(骨接合術後)
◆骨折部の転位(ずれ)がないか小さい場合はギプスによる治療を検討します。
◆関節内の骨折であれば、関節変形を予防するため早期に手術を行い、元の解剖に整復しプレートやスクリューにて強固に固定します。
◆長管骨の骨折であれば長さ、回旋、アライメントを整復する、いわゆる機能的整復を行い、 髄内釘などを用いて手術を行います。
手術適応かどうか、ご判断に迷われる症例も検討させていただきますので、 いつでもご相談ください。
日本を含む先進国では、高齢者の人口が増加しており骨粗鬆症に関連する骨折も増加しています。その一つに転倒などの軽微な外傷に伴う骨盤の骨折があり、これを脆弱性骨盤骨折といいます。
脆弱性骨盤骨折の治療法として、以前は安静臥位とし疼痛の軽減を待ってから、徐々にリハビリを行っていくことが一般的でしたが、いつまでも疼痛が軽減せず寝たきりになってしまう方も見られました。最近は、早期離床ができず寝たきりになりそうな患者さんに対して、なるべく低侵襲に手術を行うことで疼痛を緩和し、早く元の生活へ戻ることを目指して治療を行っております。



